歯ぎしり・食いしばり

    歯ぎしり・食いしばり

    口を大きく開けようとしても、こわばって開かない。
    口の開け閉めの時にガクガクと音がする。
    あごの周りの筋肉や関節が痛い。
    頭痛や腰痛、肩こりがひどい

    上記のような顎や体の不調を感じたことがある方も多いのではないでしょうか?

    これらの症状は、顎関節症が原因となっているケースも多く、最近では若い女性の間で急速に増えています。

    顎関節症になってしまう原因はさまざま。従来までは噛み合わせの悪さが原因とされていましたが、最近では歯ぎしりや食いしばりなどといった顎に負担がかかる日常生活での動作も大きな原因になっていると言われてます。

    特に精神的なストレスを大きく感じる時は歯を食いしばる癖が出やすく、歯や顎への負担が増してしまいます。

    ストレス社会と言われる現代において、完全にストレスをなくす生活を送ることは不可能ですが、ストレスと上手に付き合えるよう工夫するとともに、歯や顎をストレスから守るための対策をしっかりと行うことが大切です。

     

    歯ぎしり、食いしばりは、さまざまなトラブルを引き起こします。

    歯ぎしり・食いしばり

    歯ぎしりや食いしばりをしているという事は、自分ではなかなか気が付かないもの。

    日中、無意識のうちに行っている食いしばりはもちろん、夜間に行われる歯ぎしりも音が鳴りにくいタイプのものもあり、ご家族やパートナーの方であっても気が付かないことも多くあります。

    「音が鳴らなければ周りに迷惑をかけないので、急いで治療をしなくても大丈夫」と思われる方もいらっしゃるかもしれませんが、食いしばりや歯ぎしりは、自分が思っている以上に歯や顎に大きな負担をかけているもの。

    放っておくと、歯のすり減りや動揺、歯周病の悪化、顎関節症の発症といったお口周りの問題だけではなく、頭痛や肩こり、倦怠感などといった全身の問題に発展してしまうことも少なくありません。

    早い段階で治療をした方が、治療にかかる費用も時間も少なくて済みますので、心当たりのある方は早めにご相談に致してください。

     

    あなたのお口にこんな信号は出ていませんか?

    頬や舌の圧痕

    食いしばり

    歯ぎしりや食いしばりによって頬の筋肉が過度に緊張した状態が続くと、内側の粘膜が歯に押しつけられて白い筋のような痕がつく場合があります。

    また、同じように舌の両脇にも歯痕と呼ばれる歯型の痕が付きます。

    圧痕自体は特に害のあるものではなく、食いしばりが解消されれば自然と消えてなくなります。

     

    亀裂(クラック)

    食いしばり

    歯に過度のねじれや横の力が加わると、歯がその力に耐えられずに表面に小さなヒビ(亀裂)が生じます。

    その亀裂は、目に見えるほど大きなものから、肉眼では確認できないほどの小さなものまでさまざまです。

    その小さなヒビから虫歯菌が侵入して虫歯になってしまったり、最悪の場合は歯が割れて、抜歯しなければいけなくなってしまうケースもあります。

    いったん歯にヒビが入ってしまうと、自然に治ることはありませんし、むしろどんどん大きくなってしまいます。少しでも早く治療をし被害を最小限にとどめるとともに、ヒビが出来てしまった原因を改善することが大切です

     

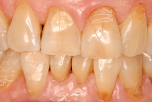
    歯のすり減り

    食いしばり

    歯ぎしりによって日常的に強い力で歯を擦り合わせていると、歯の先端がどんどん削れてしまい、歯の先が平らになり短くなるといった症状が出てきます。

    症状が進行すると、表面のエナメル質が削れて歯の中の象牙質が見えてきてしう場合もあり、虫歯や知覚過敏を引き起こしてしまう原因になります。

     

    骨隆起(こつりゅうき)/外骨症(がいこつしょう)

    食いしばり

    骨隆起とは、上顎や下顎、または歯茎の部分にできる硬い骨のふくらみを言います。

    食いしばりや歯ぎしりが強い方に多く見られる症状で、顎の骨に過度の力が加わり、その刺激によって骨が盛り上がってできると言われております。

    骨隆起は痛みを伴うものではなく、また病的なものでもありませんので放置していても問題はありませんが、徐々に大きくなっていきますので、発音や飲食に支障が出るようでしたら切除する必要があります。

    ただし、切除してもまた徐々に大きくなってしまうため、歯や骨に過度な力が加わらないよう、守ってあげることも大切です。

     

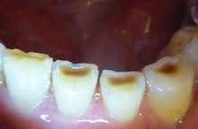
    楔状欠損(くさびじょうけっそん)

    食いしばり

    食いしばりや歯ぎしりの大きな力などが原因で歯の歯茎に近い部分にひずみが集中すると、歯の根元がくさび状に削れていく楔状欠損という症状を引き起こすことがあります。

    歯の表面を守るエナメル質が欠損してしまうため、冷たいものがしみるなどの知覚過敏の症状も出てくることが多くあります。

    また、歯の生え際の部分に発生するために目に付きやすく、審美的な問題にもつながってしまいます。

    対処法としては、プラスチック(CR)などで欠損部分を埋めて修復するという手段が考えられますが、その歯にかかる力のコントロールを行ってあげないとすぐに脱落してしまうことがほとんどです。

    くさび状欠損から亀裂に発展し、破折につながるというケースもありますので、なるべく早く原因を追求し、強い咬合力からいかに歯を守るかを考えなければなりません。

     

    当院での治療法

    SLP・SPP

    食いしばり

    SLP(サブリンガルプレート)とは、日本歯科大学名誉教授の丸茂義二先生が考案された、歯ぎしりや食いしばり・睡眠時無呼吸症候群などを効果的にコントロールするための装置です。

    通常、口腔機能に問題のない正常な方の場合、何もしていないリラックスしている時には舌は常に上顎にくっついている状態になっています。

    しかし、舌の筋力が低下しているなどの理由から舌の位置が下がってしまうと、上下の歯を接触させやすくなり、日常的に食いしばりをしやすくなってしまいます。

    SLP装置を使用することで、舌の位置が自然と上に持ち上がって常に上顎にくっつく状態になるため、上下の歯の間に隙間が生じ、無意識に食いしばりをすることがなくなります。

    また、舌の位置を正しい位置に修正することにより体の重心バランスも修正されるため、姿勢が改善されたり、唾液の分泌を促進することで虫歯リスクの軽減、ドライマウス防止に繋がる効果も期待できます。

    SLPは舌の下に入れて使用するタイプの装置ですので、睡眠時だけではなく、日中も装着したままで過ごすことができます。普段からSLPを装着し続けることで本来の舌の位置を学習することができ、装置を外した後でも良い効果を維持することができるようになります。

     

    ボトックス治療

    食いしばり

    ボトックス治療とは、ボツリヌス菌から抽出されるたんぱく質の一種を過度に緊張している筋肉に注射することで、一時的に緊張をほぐす治療法です。

    歯ぎしりや食いしばり、顎関節症などの症状を抱えている患者さまは、咬筋(主に食べ物を噛む時になどに使われる筋肉)が過度に緊張し、必要以上に発達している傾向があります。

    咬筋の肥大は、ほおっておくと顎の痛みや血行不良、ストレス、頭痛、肩こり、エラ張り、むくみなど、さまざまなトラブルを引き起こしてしまうため、ボトックス注射により緊張をほぐし、症状を緩和してあげることが有効となります。

    また、ボトックスは、脳が筋肉に運動することを命令する「神経伝達物質(アセチルコリン)」の働きを阻止する働きもあります。

    睡眠時に歯ぎしりをしている方の場合、この神経伝達物質が無意識のうちに働いてしまっている傾向があるため、ボトックス注射によりその働きを抑制することで歯ぎしりを防止することが出来ます。

     

    ナイトガード(マウスピース)

    食いしばり

    ナイトガード(マウスピース)とは、睡眠時にマウスピースを装着することで、夜間無意識に行われる歯ぎしりや食いしばり、かみこみで生じる歯への負担を軽減させる治療法です。

    ナイトガードは、歯ぎしりそのものを防ぐのではなく、歯ぎしりによる莫大な力によって歯が破壊されてしまうのを防ぐためのものですので、歯ぎしりや食いしばりの根本的な解決にはなりませんが、症状を緩和するという意味では有効な手段かと思います。

    歯ぎしり対策用のマウスピースには市販されてるものもありますが、使い方によっては、噛み合わせや歯並びを悪化させてしまう危険性もありますので、歯科医院にてご自身の歯にぴったり合ったものを作成してもらう方が良いでしょう。

    保険適用の範囲内で作成できるタイプのものもありますので、3割負担の方でしたら5,000円程度で作成することができます。

     

PAGE TOP