「医院ブログ」の記事一覧

2020/04/28

新型コロナウイルス感染防止対策をしています

新型コロナウイルスが流行していることを受け、患者様、 スタッフに対する感染予防措 ...

当院では、新型コロナウイルスのPCR検査は実施しておりません

新型コロナウイルス感染について、新聞やニュースなどで「歯科医師も検体採取」との報 ...
no image
2019/09/20

26~30枚目

こんにちは~! 歯科助手の原です。 インビザライン26~30枚目を装着しました! ...
no image
2019/08/27

21~25枚目

こんにちわ~! 歯科助手の原です。 ブログをホームページに移していたので更新が遅 ...
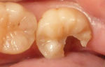
2019/03/24

虫歯は削らず、薬でなおす。

20代女性の奥歯です。 歯が欠けたから 何とかしてとのこと 見ると 大きな穴が開 ...

子供に虫歯ができた!!

子供の虫歯は急激に大きくなります。 幼児本人に歯磨きを任せても 完璧な歯磨きでき ...

虫歯の検査

こんにちは 理事長の亀井です。 今日は虫歯の検査のお話。 虫歯とは、歯が溶けてい ...

レーザーで無痛治療

こんにちは 理事長の亀井です。 今日は 無痛治療のお話。 虫歯の治療は 一般的に ...

虫歯を見つけるには

こんにちは 理事長の亀井です。 今日は、歯医者さんが 虫歯を見分ける方法の紹介で ...

「気持ちが前向きになると、洋服や髪形まで変わるものなんですね!」

写真の患者さんは30代の女性です。 「歯並びが気になって、思い切って笑えないし、 ...

PAGE TOP