子供に虫歯ができた!!
子供の虫歯は急激に大きくなります。
幼児本人に歯磨きを任せても
完璧な歯磨きできません。
お父さん、お母さんたちの仕上げ磨きが
大事になります。
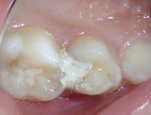
下の写真は6歳の男の子
突然 歯に穴があいたと
本人は痛くないそうです。
乳歯の神経は未成熟なため
大人の歯ほど痛みに敏感ではありません。
よって 写真のように 大きな穴があいて、
初めて虫歯に気づく方が多いです。
レントゲンで見てみると
神経まで達しているような虫歯。
そこで、 ドックベストセメントという薬を使用します。
この薬は 虫歯を硬化させる働きがあります
この状態で数か月待ちます。
虫歯が硬くなったら、樹脂を詰めて終了です。
厳しいようですが、子供の虫歯は
親にも責任があります。
虫歯を作らないように、甘いものを控え、
歯磨きよくしてあげてくださいね。
医療法人オーラルプロデュース ノーブルデンタルオフィス:http://www.noble-dental.jp
電話:03-330-3671
住所:〒156-0057 東京都世田谷区上北沢3丁目6−21
最寄り駅:京王線 「上北沢駅」 南口より徒歩3分 ※各駅停車にて

