虫歯は削らず、薬でなおす。

   

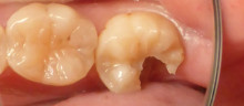
20代女性の奥歯です。

歯が欠けたから 何とかしてとのこと

t02200097_0800035413029303459

見ると 大きな穴が開いてます。

従来の虫歯の治療は 虫歯を全部削り取ります。

こんなに 大きな穴の虫歯を全部 とると、

ほぼ 間違いなく 神経をとることになります

そこで 最新 虫歯治療があります。

写真のように 薬を つめるだけ

名前はドックベストセメント

t02200113_0800041013029303460

これで数か月 様子を見ます。

虫歯が かたくなっていたら 薬がきいた証拠です。

樹脂を詰めて 終了。

虫歯は 削らなくても治せるんです。



医療法人オーラルプロデュース ノーブルデンタルオフィス:http://www.noble-dental.jp

電話:03-330-3671
住所:〒156-0057 東京都世田谷区上北沢3丁目6−21
最寄り駅:京王線 「上北沢駅」 南口より徒歩3分 ※各駅停車にて

PAGE TOP