矯正歯科

    矯正歯科

    「矯正治療をしたいけれど、装置が見えるのが恥ずかしい」
    「歯並びが気になるけれど、矯正治療は長い期間かかるから…」
    「装置を付けている間、食べ物の制限が出てしまうのがイヤ」

    歯並びをキレイにしたいと思ってはいても、上記のような理由から矯正治療に抵抗を持っている方も多いのではないでしょうか?

    最近では日本人の歯に対する美意識も向上し、年代問わず矯正治療を行う方が増えてきたように思いますが、それでもまだ矯正治療に対しては「痛い」「高い」「面倒」といったイメージを持っている方が多いように感じます。

    しかし近年では、取り外し可能なマウスピース型矯正装置を始め、歯の裏側から装置を付けるリンガル矯正(裏側矯正)、痛みを緩和する装置など、患者さまのニーズにこたえるさまざまな技術が開発されています。

    当院でも、患者さまが積極的に歯科矯正にチャレンジできる環境を整えております。

     

    総合医だからできる、全体リスクを考慮した矯正治療

    矯正

    成人の方で矯正治療をご検討されていらっしゃる方の中には、お口の中の問題として歯並び以外の問題を抱えていらっしゃる方も多くいらっしゃいます。

    例えば、歯周病のリスクを抱えている方の場合は顎の骨が吸収しやすい状態のため、矯正治療で強い力をかけてしまうと最悪の場合歯が抜けてしまうことになりかねません。

    また、歯根破折や虫歯が原因で抜歯が必要な場合、欠損した部分の補綴手段も併せて治療計画を立てる必要があります。

    多くの場合、矯正専門医院は矯正治療だけにしか対応しないため、このような総合力が必要となるケースでは他医院のドクターと情報を共有しながら治療を進めことになりますが、いくら密に連携を取ったところで、ありとあらゆるすべての情報を共通認識として共有するのはとても難しいことです。

    当院理事長は、矯正・歯周病・補綴・審美、すべての分野において多くの実績をつみ治療結果においても高い評価を得ております。

    カウンセリングの際には歯周病やインプラント治療と合わせた矯正治療の事例などもご紹介することができますので、お気軽にご相談下さい。

     

    大人の矯正(成人矯正)

    インビザライン

    矯正

    従来の矯正はワイヤーを使用して歯を動かしてきましたが、インビザラインはワイヤーを使用せずに、取り外し可能なマウスピースを用いた新しい矯正方法です。全世界で既に400万人以上(2018年現在)の治療実績のある治療装置です。

    インビザラインによる治療を行う際、従来まではシリコン印象材を用いて歯型を取る作業が必要でしたが、当院では3Dスキャナーiteroを導入しておりますので印象材での型取りは必要ありません。

    嘔吐反射などの理由で型取りが苦手な方でも、気軽に矯正治療が行えます。

    →3Dスキャナー「iTero(アイテロ)」について、詳しくはこちら →当院スタッフのインビザライン体験ブログはこちら

     

    インビザラインの5つの特色

    1. 痛みがほとんど無い
    インビザラインは従来の矯正装置に比べ、比較的痛みが少ないと言われています。
    その理由の一つとして、インビザラインでは一つのマウスピースで動く歯の移動量が0.25mmと非常に少なく設定しており、過度な力がかかりにくいことが挙げられます。

    2. 取り外しができて衛生的
    インビザラインは取り外し可能な為、従来の矯正装置のように装置にプラークが沈着することがなく、歯や歯周組織を清潔に保つことができます。

    3. 食べたい物がたべられる
    従来型の矯正装置ですと、繊維質の物は絡みやすく、わずらわしさがあるかと思います。
    インビザラインの場合は取り外しが可能ですので普段と変わらず食事を楽しむことができ、快適です。

    4. 金属による悩みも解消
    インビザラインはプラスチック製の為、金属アレルギーを引き起こす心配がありません。
    金属アレルギーで矯正治療を断念した方も、安心して治療を受けて頂くことができます。

    5. 透明で目立たなく、しゃべりやすい
    「矯正治療がしたくても見た目が気になる」という方は多いのではないでしょうか。
    インビザラインは薄く透明で目立ちにくい装置です。ほとんど 周りに気付かれることはありません。

     

    アソアライナー(クリアライナー)

    矯正

    アソアライナーもインビザライン同様、取り外しのできるマウスピース型の矯正装置です。

    基本的な特徴はインビザラインと変わりませんが、インビザラインが最初の型取りで全てのマウスピースを作るのに対し、アソアライナーはマウスピースを交換するごとに新しく型取りをして作り変えるので、他の虫歯治療などと同時進行で治療を進める場合に向いています。

    インビザラインよりも適用症例は狭いですが、費用的にはインビザラインよりも安く済む場合がありますので症例を見極めて選択することが大切です。

     

    リンガル矯正(裏側矯正)

    矯正

    一般的な矯正では歯の表面に矯正装置(ブラケット)を装着するため、話す時に装置が目立ってしまい、人と接する機会の多い女性や容姿が気になる方にとっては、矯正に抵抗をもつ要因の1つとなってることが多々あります。

    そのような場合には、表側からは全く装置が見えないリンガル矯正(裏側矯正)がおススメです。

    リンガル矯正(裏側矯正)とは、歯の裏側に装置を付け、口元が目立たないように矯正を行う方法のこと。他人の視線を気にしなくてもよいので治療中のストレスが軽減され、治療中も治療後も素敵な笑顔でいられます。

    リンガル矯正は、表側から装置を装着する通常の矯正治療に比べて高い技術を要するため、対応できる医院はそれほど多くはないのが現状ですが、症例によってが治療期間も短縮できるなど、これまでの矯正治療のデメリットを解消した方法として注目されています。


    裏側矯正のメリット
    • 他人から気づかれずに治療を行うことが出来る。
    • 裏側から装置を付けるため、歯の表側のエナメル質へのダメージがない。
    • 装置の構造上、出っ歯を効率的に治療しやすい。
    裏側矯正のデメリット
    • 特別な装置と技術が必要になるため、治療費が高額になる。
    • 裏側矯正ができる歯科医院がまだ少ないため、進学や引っ越しなどで転院する際には引継ぎが困難。

     

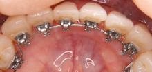
    痛みを抑えた表側矯正

    矯正

    「歯並びは治したいけど、痛いのが苦手…」

    そんな方におススメしたいのが、このデーモンシステムという装置です。

    デーモンシステムは、「セルフ・ライゲーション・ブラケット」という従来にない新しい構造をもった装置で、歯を動かす力(=矯正治療中の痛み)を弱く、かつ、効率的に歯を動かすための仕組みとして開発されました。

    セルフライゲーションブラケットとは

    セルフライゲーションブラケットとは、ワイヤーとブラケット間にかかるの摩擦力をより軽減させた設計の新しい矯正装置です。

    従来の矯正装置は、細いワイヤーやゴムを使用してアーチワイヤーをブラケットに結んでいたため、結び方によってはそのゴムやワイヤーの摩擦により痛みを生じてしまう場合もありました。

    しかし、このセルフライゲーションブラケットの場合、ブラケット自体にアーチワイヤーを留める構造が埋め込まれているため、ゴムやワイヤーで結ぶ必要がなく、その分摩擦から生じる痛みも、より低く抑えることができるようになりました。

    中には「強い力をかけた方が、歯は早く動くのではないか?」と思われる方もいらっしゃるかと思いますが、実は、歯を早く動かすためには、強い力をかけるよりも弱い力を継続的にかける方が早く効率的に動かせることが証明されているのです。

    デーモンシステムの場合、装置に通すワイヤーも形状記憶合金でできており、長期間に渡って持続的に弱い力をかけ続けることが可能なため、従来の装置に比べ、痛みを抑えた効率的な治療ができるようになったのです。


    デーモンシステムのメリット
    • 治療中の痛みが抑えられる
    • 治療期間が短縮される傾向がある
    • ワイヤーをブラケットに固定しないため、ブラッシングなどの手入れがしやすく清潔に保てる

     

    子どもの矯正(小児矯正)

    矯正

    「3歳児検診で、反対咬合と指摘された。」
    「子供の歯が曲がって生えてきてるんだけど、大丈夫かしら…」

    親にとって、子どもの事は自分以上に心配になるもの。見た目を大きく左右する歯並びに関することに敏感になっているお母さまもとても多いのではないでしょうか?

    当院にも、お子さまの歯並びを心配されてご相談に来られるお母さまがたくさんいらっしゃいます。

    お子さまの矯正治療は、開始するタイミングがとても重要。適切な時期に治療を始めることで、最低限の労力と費用で治療を済ませること可能です。

    当院では、お子様の歯並びが心配なお母様を対象として無料カウンセリングを行っておりますので、まずはお気軽にお問い合わせください。

     

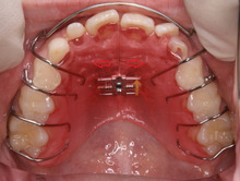
    床矯正

    矯正

    床矯正とは抜歯をして歯の並ぶスペースを確保するのではなく、”顎の拡大”や”整合のとれた位置”へ移動させて歯列矯正をおこなう治療法です。

    不正な歯並びは、顎と歯の大きさが合わないことが原因とされます。

    幼少期は小さな乳歯が並んでいますが、大きくしっかりとした永久歯がきれいに生え変わるには顎もうまく成長しなくてはなりません。

    しかし何かしらの理由で顎の発育が充分にできなかった場合、歯が並ぶスペースが不足してしまい乱れた生え方をしてしまいます。

    そこで、床矯正装置を使用することで顎の発育を促進し、永久歯が正しい位置に生えるように誘導します。

     

    マイオブレース

    矯正

    マイオブレースとは、悪い歯並びの根本的原因に働きかけることを目的としたマウスピース型のトレーニング装置です。

    不正咬合の近年増加傾向にあるのが、舌癖や口呼吸などのお口周りの習癖や、柔らかい食べ物の増加による口腔周辺筋力の低下のよるもの。

    舌の悪習癖があったり、口周りの筋肉が弱くバランスが崩れていたりすると、顎が正常に発育することが出ずに歯並びの悪化を招いてしまうのです。

    マイオブレースを使用することで、間違った口腔習癖や舌の位置を改善し、正しい飲み込み方を教え、唇を閉じる習慣をつけることができます。

    1日1時間と夜間就寝時に装着するだけですので、3歳ぐらいであればトレーニングを開始することが可能。小さいころに習癖を改善することで後々に大きな治療をしなくても済むようになります。

     

PAGE TOP