「気持ちが前向きになると、洋服や髪形まで変わるものなんですね!」

   

写真の患者さんは30代の女性です。

「歯並びが気になって、思い切って笑えないし、
思わず口に手を当ててしまう」という悩みをお持ちでした。

お口を拝見すると、前歯3本ほど 反対に噛んでいます。

原因は上あごに比べ下あごが大きいためと思われます。

下のあごを小さくするには外科手術が必要です。

患者さんとお話した結果、
今回は下の前歯を1本だけ抜いて、抜いた隙間を埋めることで
「下の歯並びを上の歯並びの内側に入れる」治療を行う
ことにしました。

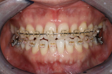
矯正

まず、下の前歯を1本抜きました。

次に、ブラケットと呼ばれる矯正装置を歯の表面につけて
下の前歯を抜いてできた隙間に隣の歯を移動させていきます。

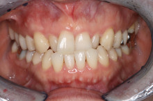
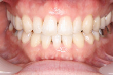
矯正終了

2年ほどかかりましたが、非常にきれいに歯が並びました。

一般の方は気づかないかもしれませんが、
下の前歯は3本しかありません。

でも、この患者さんは
「もう手を口に当てて笑うことはなくなった」と
非常に喜んでいました。

現在でも定期的に通院されているのですが、
定期健診で来院される度に表情が明るくなっただけでなく
服装、髪型までおしゃれになっていくように感じます。

気持ちが前向きになると、洋服や髪形まで変わるものなんですね!

歯並びをきれいにしたことで、気持ちや性格まで明るくなったようです。

私もこの患者さんとお会いすることを楽しみにしています



医療法人オーラルプロデュース ノーブルデンタルオフィス:http://www.noble-dental.jp

電話:03-330-3671
住所:〒156-0057 東京都世田谷区上北沢3丁目6−21
最寄り駅:京王線 「上北沢駅」 南口より徒歩3分 ※各駅停車にて

PAGE TOP