子供の歯並びをよくするに早めに矯正を
右側の前歯から2番目の歯が内側に入ってはえてます。
お母さんは気づいていましたが、
知り合いの歯医者さんに「大人になってから矯正したら・・」といわれたそうです。
当院には虫歯の治療でやってきました。
私は 大人になってから矯正するぐらいなら、
今矯正やるべきであること お母さんに話しました。
子供の矯正のほうが、 大人の矯正より ずっと本人の負担が軽いのです。
矯正方法は 拡大床といわれる 取り外しのできる装置をはめます。
上の写真の装置を口の中に 入れていると 前歯に隙間が 空いてきました。
顎が拡がってきたのです。
本人は装置を口の中に入れているだけで、痛くもありません。
1か月で1mm隙間ができてきます。
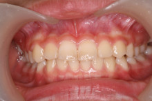
6年生のときの写真です。
心配された 八重歯にもならず、 内側に生えていた歯もきれいに並びました。
上の顎に1つの装置を入れただけです。
もし 大人になって矯正するとしたら 歯を抜いていたかもしれません。
お金も 10倍近くかかることでしょう。
矯正するなら、大人まで待っている必要はありません。
医療法人オーラルプロデュース ノーブルデンタルオフィス:http://www.noble-dental.jp
電話:03-330-3671
住所:〒156-0057 東京都世田谷区上北沢3丁目6−21
最寄り駅:京王線 「上北沢駅」 南口より徒歩3分 ※各駅停車にて

