八重歯にならないために(床矯正)
こんにちは 理事長の亀井です。
「歯が生える場所がない気がする」
とお母さんに連れられて、来院した
小学生の男の子を紹介します。
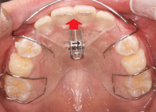
前から見ると
はっきりわかりませんが、
下の写真の矢印の部分の隙間に
大きな犬歯が生えなければいけません。
お母さんの心配通り、隙間はありません。
このままだと 八重歯になります。
まだ骨は軟らかい、小学生なので、
骨を広げる装置を入れます。
この装置は拡大床(かくだいしょう)
といいます。
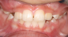
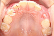
中学生になった 彼の口の中です。
赤い丸印に きちんと犬歯が入りました。
きれいでしょ!
装置はたった2つ。
下の歯は、何もしてません。
もし この男の子が、大人になるまで
何もしなければ、
必ず八重歯になっています。
八重歯を矯正で治すには、
おそらく 4本 歯を抜いて、
上下にブラケットと呼ばれる装置を付けます。
費用は 約5倍かかるでしょう。
矯正は子供のころにやるべきですね。
医療法人オーラルプロデュース ノーブルデンタルオフィス:http://www.noble-dental.jp
電話:03-330-3671
住所:〒156-0057 東京都世田谷区上北沢3丁目6−21
最寄り駅:京王線 「上北沢駅」 南口より徒歩3分 ※各駅停車にて
