スタッフ体験ブログ【インビザライン】
2019/08/27
初めまして。
ノーブルデンタルオフィスの歯科助手をしている原です。
これから、私のインビザラインの治療経過をお伝えしていきますので宜しくお願い致します!
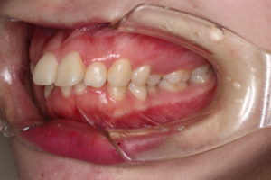
私は中学生のころから出っ歯にすごく悩まされていました。
なので大人になったらやろうと考えていたのですが、この度当院で矯正を始められるようになりとても嬉しいです!
矯正にも種類がいくつかある中で私はマウスピース型のインビザラインを選びました。
理由は、まずワイヤー矯正に比べて目立たないという事、取りたい時に取り外しが可能な事、いつも通り歯が磨けるのでお手入れがしやすい事、マウスピースを発注する際にマウスピースの枚数がわかるので大体の治療期間がわかる事、痛みが他の矯正に比べて少ない事で選びました。
中でも、私は矯正を始める前に先生に虫歯を何本か直してもらったので「お手入れがしやすい」という点が本当に助かりました。
先日先生にインビザライン口腔内スキャナーのiTeroというものでシュミレーションをしてもらい矯正後どのような歯並びになるかを見せて貰ったのですが、本当に驚きました!
シュミレーションは、機械で私の歯並びを読見取りそのデータを送るとすぐに矯正後の歯並びを見ることができ最終的な歯並びのイメージがしやすかったです。時間は10分程度しかかかりませんでした!
今そんな事ができるなんて知らなかったのですごく嬉しかったです!
聞いてみたらシュミレーションが出来る医院も都内に限られているらしいので貴重な体験が出来良かったです。

医療法人オーラルプロデュース ノーブルデンタルオフィス:http://www.noble-dental.jp
電話:03-330-3671
住所:〒156-0057 東京都世田谷区上北沢3丁目6−21
最寄り駅:京王線 「上北沢駅」 南口より徒歩3分 ※各駅停車にて