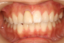
かって治療した歯が黄ばんできた
当院には、前歯の美しさに自信のない方が多く相談にみえます。
今回の患者さん。
かって治療した歯が黄ばんできたということで相談です。
前装冠とは健康保険制度で作ることができるかぶせものです。
金属のフレームにプラスチックを盛りつけたもので、一応白い歯です
プラスチックは時間がたつと変色します。
口の中は湿度100%、熱いもの、冷たいもの様々なものが入ってきます。
よってプラスチックは簡単に変色します。
この患者さん 結婚式が間近に控えているとのこと
徹底的にホワイトニングして オールセラミックいれました。
オールセラミックは
一見して本物の歯と区別はつきません。
前歯におすすめです!!
医療法人オーラルプロデュース ノーブルデンタルオフィス:http://www.noble-dental.jp
電話:03-330-3671
住所:〒156-0057 東京都世田谷区上北沢3丁目6−21
最寄り駅:京王線 「上北沢駅」 南口より徒歩3分 ※各駅停車にて

