子供の虫歯予防はどうすれば・・(シーラント)
こんにちは 理事長の亀井です。
今日は子供の虫歯予防のお話です。
子供の歯は 乳歯、永久歯にかかわらず、
非常に虫歯になりやすいです。
また 急速に虫歯が進行する特色があります。
特に生えたての歯は 非常にでこぼこして、
その溝に虫歯菌が住み着きます。
虫歯菌が悪さをすると、穴が開いていきます。
歯が生えて、ある程度たつと
歯はすり減り 溝が浅くなるので、
虫歯菌は住み着きづらくなり、
虫歯になりにくく、なっていきます。
そこで、 歯がすり減るまで
深い溝を埋めるシーラントの紹介です。
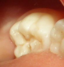
三歳の女の子の奥歯です。

写真のように、でこぼこしています。
まず 汚れをおとして 薬で消毒です
次に、この 青いクスリを洗い流して
溝に、シーラントを入れます。
そして 青い光を当てます。

この ひかりでピンク色のシーラントは
固って白くなります。
これで 溝が埋まり虫歯になりにくくなります。
たった 3分ほどの処置です。
削りません。
この女の子は笑いながら
手をふって帰っていきました。
子供のいるお父さん、お母さんは、
子供が虫歯をつくる前に
ぜひこの処置をしてもらってください。
虫歯を作ってからは遅いと思います。
医療法人オーラルプロデュース ノーブルデンタルオフィス:http://www.noble-dental.jp
電話:03-330-3671
住所:〒156-0057 東京都世田谷区上北沢3丁目6−21
最寄り駅:京王線 「上北沢駅」 南口より徒歩3分 ※各駅停車にて


