物がかめない
こんにちは 理事長の亀井です。
今日は物がうまく噛めないと
おっしゃっている90歳女性のお話です。
歯科には 今までもずっと
かかっていたそうですが、
そこの歯医者さんに
「もう歳なんだからこれぐらいで
いいんじゃないの」
とあまり、積極的に治療を
してくれなかったそうです。
90歳といっても 足腰がしっかりしている、
おしゃべり好きなおばあちゃんです。
とても 90歳には見えません。
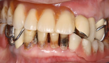
入れ歯は劣化し、かみ合わせは
大きくずれてしまっています。
虫歯も多くみられます。
「とにかくきれいにしてほしいし、
ごはんもおいしく食べたい」とのことでした。
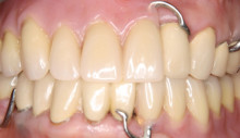
入れ歯を作り直し、虫歯の治療をしました。
おばあちゃんには、とても 喜んでいただきました。
食欲が出てきて 太ったそうです。
「まだまだ 長生きできそう」と 笑っていました。
どうして前の歯科医師は
きちんと治療しなかったのか、
不思議でなりません。
医療法人オーラルプロデュース ノーブルデンタルオフィス:http://www.noble-dental.jp
電話:03-330-3671
住所:〒156-0057 東京都世田谷区上北沢3丁目6−21
最寄り駅:京王線 「上北沢駅」 南口より徒歩3分 ※各駅停車にて

