虫歯
こんにちは 理事長の亀井です。
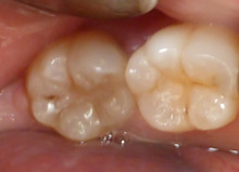
今日は 検診と歯石をとることを希望して来院された20代の方の紹介です。
ほとんど歯医者に行ったことがないらしく、
痛いところもないそうです。
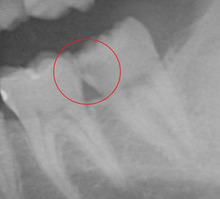
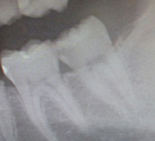
レントゲンを撮影しました。
素人目にはわからないかもしれませんが・・・
赤い丸印内に 黒い影が見えます。
これが もし虫歯です。
レントゲンを撮らなければ 絶対に 見逃します。
隠れ虫歯がありました。
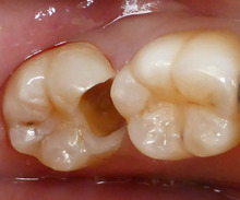
全部 虫歯をとりました。
こんなに 大きな穴が開いてしまいました。
レントゲンを使用した、定期健診 が大事ですね!!
しばらく 歯医者に行ってない方は
是非 一度診てもらってください。
医療法人オーラルプロデュース ノーブルデンタルオフィス:http://www.noble-dental.jp
電話:03-330-3671
住所:〒156-0057 東京都世田谷区上北沢3丁目6−21
最寄り駅:京王線 「上北沢駅」 南口より徒歩3分 ※各駅停車にて


