すきっ歯は簡単に治る
写真の程度のすきっ歯は簡単に治せます。
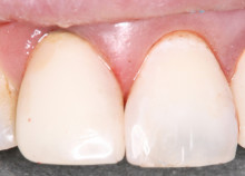
40代の女性 最近隙間が大きくなってきたので、気になるそうです。
写真 左(右前歯)は かぶせものです。
写真 右(左前歯)は 自分の歯です。
このような 隙間を治す方法はいくつか考えられます。
1 矯正で隙間を閉じる
2 写真 左のかぶせものをやり直す
3 写真 右の歯の横に樹脂を盛り足す
1の矯正は 最も時間と費用がかかります。
2はかぶせものを壊さなければいけません。
上の写真は30分の治療時間で終了したものです。
写真 右の歯に 樹脂を盛り上げました。
ダイレクトボンディングという治療です。
歯を一切削ってません。
プラスチックのため2,3年経つと色が黄色くなってきます。
修理は簡単にできます。
ポイント
-
- 一回で終わる
-
- 歯を一切削っていない
-
- 時間が経つと色が変わってくるが修理は簡単
すきっ歯はたった30分でなおりました。
医療法人オーラルプロデュース ノーブルデンタルオフィス:http://www.noble-dental.jp
電話:03-330-3671
住所:〒156-0057 東京都世田谷区上北沢3丁目6−21
最寄り駅:京王線 「上北沢駅」 南口より徒歩3分 ※各駅停車にて

