白い歯は第一印象に大きく関わります。
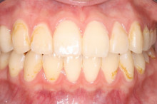
20代の女性です

明日から就職活動があるから、歯を白くしたいと来院しました。
とにかく 早くしてほしいということなので、虫歯の処置はあとまわし。
1日で歯を白くすることができるオフィスホワイトニングをしました。
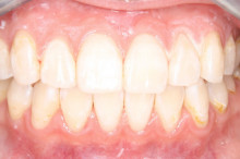
写真は1時間後の写真です。
歯医者の私としては、虫歯が気になるところですが、本人は大喜び!

後日 希望の会社に内定もらったと報告 いただきました。
歯が白いから、内定とれたわけではないでしょうが
第一印象は口元で大きく変わります。
医療法人オーラルプロデュース ノーブルデンタルオフィス:http://www.noble-dental.jp
電話:03-330-3671
住所:〒156-0057 東京都世田谷区上北沢3丁目6−21
最寄り駅:京王線 「上北沢駅」 南口より徒歩3分 ※各駅停車にて