「ホワイトニング」の記事一覧

2019/03/24

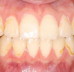
前歯の黒ずみは簡単になおります。

患者さんは 前歯の黒ずみを気にして 来院されました。 来週には、ご自分の結婚式だ ...

白い歯は第一印象に大きく関わります。

20代の女性です   明日から就職活動があるから、歯を白くしたいと来院 ...
no image

ホワイトニング いつするの?

ホワイトニングをしようと思うきかっけはは人 様々です。 ホワイトニングをした人に ...

PAGE TOP