入れ歯の針金をなくしたい
こんにちは。 理事長の亀井です。
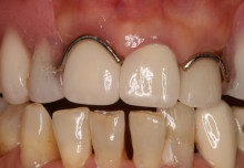
入れ歯のばねが気になると、
50代の女性が来院しました。
上の顎には4本しか 歯はありません。
入れ歯を支えるためには
残っている歯にクラスプと呼ばれる
写真のように 歯の 歯茎の際に
針金がかかっています。
確かに 目立ちますよね。
そこで私は、ばねのない入れ歯を
彼女に提案しました。
大阪の歯科医が開発した、
ミラクルデンチャーを装着しました。
ミラクルデンチャーは特殊な考えに基づいて
作成された入れ歯ですので
全国でも限られた
歯科医院でしか取り扱っておりません。
患者さんには、「もっと早く来ればよかった。」
おしゃっていました。
大喜びしていただきました。
よかった!
医療法人オーラルプロデュース ノーブルデンタルオフィス:http://www.noble-dental.jp
電話:03-330-3671
住所:〒156-0057 東京都世田谷区上北沢3丁目6−21
最寄り駅:京王線 「上北沢駅」 南口より徒歩3分 ※各駅停車にて

