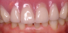
昔に比べ出っ歯になった
80代女性 です。
昔に比べて出っ歯になったと
気にして来院しました。
この方 実は上の歯は総入れ歯
総入れ歯の歯は 自分の歯に比べ
削れやすいのです。
この方の入れ歯の歯がすり減って
かみ合わせが深くなったことで、
出っ歯に感じたようです。
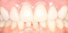
入れ歯を作り直しました。
かみ合わせは浅くなり
出っ歯は気にならなくなったそうです。
美を気にするのは
年齢は関係ありませんね。
医療法人オーラルプロデュース ノーブルデンタルオフィス:http://www.noble-dental.jp
電話:03-330-3671
住所:〒156-0057 東京都世田谷区上北沢3丁目6−21
最寄り駅:京王線 「上北沢駅」 南口より徒歩3分 ※各駅停車にて

