入れ歯の針金なくせます。

   

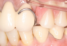
通常、部分入れ歯は 歯に入れ歯をひっかけるために

クラスプという金属のばねを使用します。

このばねを、なくすことができます。

写真はばねを使用した入れ歯です。

この入れ歯を入れている女性は、

このばねが気になって思い切って笑えないそうです。

 

t02200153_0780054113012933559

アタッチメントを使用しばねをなくしました。

t02200160_0800058313012933558

これで入れ歯を入れている事は

他人は気づかないでしょう



医療法人オーラルプロデュース ノーブルデンタルオフィス:http://www.noble-dental.jp

電話:03-330-3671
住所:〒156-0057 東京都世田谷区上北沢3丁目6−21
最寄り駅:京王線 「上北沢駅」 南口より徒歩3分 ※各駅停車にて

PAGE TOP