重度の歯周病治療
こんにちは 理事長の亀井です。
今日は 重度の歯周病を患った
50代男性を紹介します。
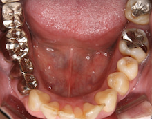
当院には 顔が腫れたということで、
来院されました。

写真からは わかりにくいですが、
奥歯は歯周病のため ぐらぐらしています。
この方には かかりつけの歯医者さんに
毎月1回以上通っていたにもかかわらず、
「一向によくならないから 何とかしてほしい」
と 来院されました。
残念ながら 奥歯 2本は
抜かざるを得ない状況です。
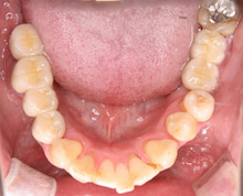
下の写真は 2年後の定期検診時の写真です。
結局 3本のインプラントを行い、
銀歯は ハイブリッドセラミック
と呼ばれるかぶせものに替えました。
歯周病は治癒しました。
歯周病を治すのは
歯磨きだけではありません。
かみ合わせも非常に重要です。
きっちり計画された治療が大事です。
患者さんは、ほぼ 毎月
当院へ口の中のクリーニングに見えています。
患者さんの努力も必要ですね。
重度の歯周病は治療も難しいです。
しばらく歯医者に行ってない人は、
ぜひ診てもらって下さい。
悪くなってからでは 手遅れですので。
医療法人オーラルプロデュース ノーブルデンタルオフィス:http://www.noble-dental.jp
電話:03-330-3671
住所:〒156-0057 東京都世田谷区上北沢3丁目6−21
最寄り駅:京王線 「上北沢駅」 南口より徒歩3分 ※各駅停車にて